30+ lenyűgöző kép, amin valami igazán érdekeset örökítettek meg
Könnyű azzal vádolni az internetet, hogy túlságosan a szórakoztatás, és kevésbé az oktatás oldalára áll. Az internet valahogy így működik. De a tanulságos dolgok is vannak, és hé’, ezek is lehetnek szórakoztatóak! Nézd meg ezeket a lenyűgöző képeket, és győződj meg róla magad!
Egy teljesen leégett előkert, méghozzá szándékosan.
Ez a földgömb emelt kontinenseket, folyókat és városokat tartalmaz a vakok javára, olyan, mint egy Braille-térkép. Sőt, néhány jellemzőt még Braille-írással is leírnak.
Nem minden teknős tudja behúzni a fejét a páncéljába. Például a találóan elnevezett nagyfejű teknősnek olyan koponyája van, ami túl nagy és csontos ahhoz, hogy visszahúzza.
Hallottál már a ritka kék homárról? Nos, a rákok is kékben jönnek.
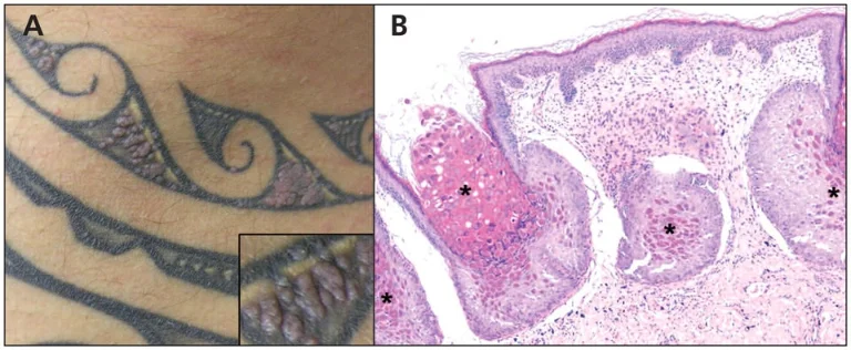
Láttál már tetovált bőrt mikroszkópon keresztül?
Könnyű látni, hogy ez a növény hogyan kapta a becenevét – a nevető majom orchideát.
Ez az a maszk, amit valaki az arcára öntött, hogy viselje a sugárkezelések alatt.
Ez az óriási rádióteleszkóp Örményországban nem működik, de nem is hagyták el. A szovjetek a Herrouni tömböt néhány klassz felfedezésre használták, de a jelenlegi tulajdonosaiknak nincs pénzük működtetni.
Mintha a hullámok megfagytak volna a felszínen.
Kevesen látták még a Nagy Piramist ebből a szögből.
Nehéz elhinni, de ez az ősi egyiptomi ruha majdnem olyan régi, mint a Nagy Piramis.
Izland varázslatos.
Nos, ez ijesztő.
Bár most külön vannak, ezt a koponyát eredetileg még mindig a sisakban találták meg. Az egykori harcos Korinthoszért harcolt a maratoni csatában Kr. E. 490-ben.
Ennek a konyhai páraelvezetőnek szokatlan jellemzője van: amikor a nap alacsonyan van, eléri a szellőzőnyílást, és visszapattan rá, és így megvilágítja.
A medál másik oldala/része.
Még mindig megmenthető, igaz?
Hogyan ül egy Forma-1-es pilóta a pilótafülkébe?
Ezt a bevásárlólistát 387 évvel ezelőtt írták, és egy londoni ház padlója alatt fedezték fel.
A művészet az művészet.
Heterokrómia, vagyis más-más színű szemei vannak.
Új-Zéland híres elefántsziklája.
Ezt a maszkot Jip van Leeuwenstein tervezte, hogy blokkolja az AI arcfelismerést, függetlenül attól, hogy milyen szögben nézik az arcát.
A kutyák is kaphatnak vitiligót.
Mindig azt hittem, hogy ezek csak a filmekben léteznek..
Egy csepp toll tinta a fehér festékben.
Soha nem gondoltam volna, hogy elég nagy lesz ahhoz, hogy befogja az egészet, de úgy tűnik, itt ez történik.
Furcsán lapos villa.
Ez a kép nem tűnik szörnyen figyelemre méltónak, de valójában néhány tényt mutat nekünk az életről. Először is azt mutatja, hogy a hó hosszabb ideig marad meg, miután megtaposták. És ha ezt tudjuk, láthatjuk a legnépszerűbb útvonalakat is!
Gördeszkázás közben felkaptam egy nagy mágnest.
Egy kutya 20 évig pontosan erre a helyre pisilt…
Hernyók serege egy fatörzsön.
Talán nem is meglepő, hogy ez a késő kréta időszakból származik, de az, hogy egy madárhoz tartozott már annál inkább.
Hollandiában egy parkolóhelyet kínálnak a lovak számára.
A tusdósok szerint ez a villanás napnyugtakor vagy napkeltekor a legvalószínűbb, mert ezek azok az időszakok, amikor a fény többet utazik a Föld légkörén keresztül.
Elképesztő, hogy mennyi ideig maradhatnak a dolgok, mielőtt valaki végül kiássa őket. Például ezt a érmet nyilvánvalóan a New Jersey-i Westfieldben megrendezett éves Függetlenség Napi lábverseny győztesének adták ki, 1911-ben!
Nem is tudtam, hogy ez megtörténhet!
via: diply.com





































